
Recent breakthroughs from the Washington University School of Medicine in St. Louis have ignited hope in the treatment of certain types of blood cancers, specifically myeloproliferative neoplasms (MPNs) and acute myeloid leukemia (AML). These exciting findings indicate that a drug currently undergoing clinical trials for breast cancer could potentially transform the landscape of therapy for blood cancer patients. The studies focus on inhibiting a protein called RSK1, which may provide a new strategy to halt the progression of these malignancies.
As an overview, myeloproliferative neoplasms are a group of slow-growing blood cancers that can remain asymptomatic for years, making early detection and treatment challenging. Despite their insidious nature, they pose a significant risk for transformation into more aggressive forms, particularly AML, which presents a prognosis fraught with complications and limited therapeutic options. Thus, the search for effective interventions that can not only treat but also prevent such transformations has become a focal point in cancer research.
In the recent studies, the team explored the potential impact of RSK1 inhibitors on the disease process in laboratory and animal models. RSK1, a serine-threonine kinase, has been implicated in various cellular processes, including growth, survival, and proliferation. The team’s findings suggest that blocking RSK1 reduces inflammatory responses and cellular proliferation associated with MPNs, indicating a promising therapeutic angle for intervention.
A significant aspect of these findings is the use of PMD-026, a specific RSK1 inhibitor that has already shown effectiveness against breast cancer. The dual potential of this drug highlights the increasing trend of repurposing existing medications for new indications, which fast-tracks the research-to-clinic timeline considerably. With preliminary data showcasing a reduction in fibrosis and nearly complete elimination of cancerous cells in mouse models, the evidence supports a strong rationale for proceeding with human trials.
For patients suffering from chronic MPNs, this could mean a revolutionary shift in how their conditions are managed. These patients often live with debilitating symptoms due to ineffective treatments that primarily address symptoms rather than disease progression. The prospect of a targeted therapy that halts the advancement of their disease could significantly enhance their quality of life and overall prognosis.
Research lead Stephen T. Oh outlined the pressing need for such intervention, as existing strategies for MPNs are limited to managing symptoms rather than addressing the underlying disease. The anticipation surrounding RSK1 inhibitors carries promise not only for chronic phase management but also as an adjunct to therapies aimed at enhancing eligibility for stem cell transplants. This is particularly vital given the high-risk population that suffers from secondary AML due to MPN progression.
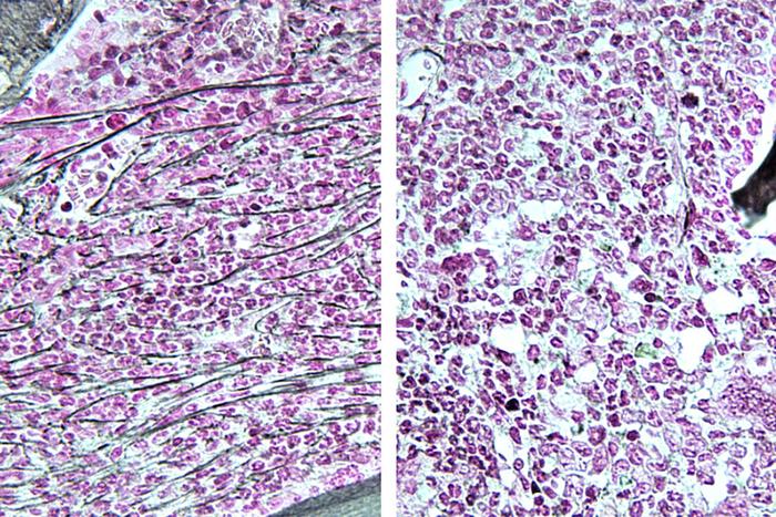
The studies offer a compelling narrative around RSK1 as a novel target. When RSK1 was inhibited in experimental models, evidence pointed to a reversal of disease characteristics, demonstrating the mechanism of action through which the drug may exert its effects. Mice treated with PMD-026 exhibited decreased fibrosis in their bone marrow, resembling that of healthy tissue, contrasting sharply with untreated counterparts who demonstrated severe disease manifestations.
Moreover, the research underscores the importance of a dual approach in treating forms of AML, especially FLT3-ITD AML which often develops independently of an MPN. The need for innovative solutions is acute, as resistance to standard FLT3 inhibitors remains a significant obstacle in the treatment pathway of this aggressive leukemia. By utilizing RSK1 inhibitors, researchers propose a means of circumventing resistance, which could substantially improve outcomes for patients with this form of AML.
The excitement surrounding these findings is not solely based on lab results. The translation of PMD-026 into clinical trials signals a rare opportunity for patients currently lacking effective options. As the drug is already in clinical testing for breast cancer, the leap to trial its benefits in blood cancers becomes a strategic choice, potentially expediting access for patients who urgently need new therapies.
Follow-up research will aim to elaborate on the comprehensive effects of RSK1 inhibition in wider patient cohorts. The collaborative nature of the research involving Phoenix Molecular Designs further solidifies the intricate relationship between academic progress and clinical application. Recognizing the role of partnerships in drug development can facilitate faster pathways for promising treatments to reach the market.
As research expands, a critical aspect will involve addressing the real-world implications of these findings, including potential side effects, the drug’s tolerability in diverse patient populations, and the overall impact on healthcare systems. Continuing to engage with the intricacies of patient predispositions and disease profiles will be pivotal in optimizing treatment protocols for blood cancers.
Ultimately, the breakthroughs at Washington University School of Medicine may not only reshape treatment paradigms but could also encourage rigorous exploration of existing therapies for novel applications across various cancers. The interplay between innovative research, clinical application, and patient outcomes encapsulates the ongoing quest to combat some of the most challenging diseases of our time.
With increasing focus on precision medicine and targeted therapies, the role of RSK1 as a therapeutic target could signify a new era in the battle against blood cancers, establishing a template for future research initiatives aimed at harnessing existing medications to tackle diseases that have long defied effective treatment.
As research unfolds and clinical trials progress, the hope is that patients with MPNs and AML will benefit from these advances, heralding a new chapter in cancer care that prioritizes efficacy, safety, and ultimately, patient well-being.
Subject of Research: Inhibition of RSK1 for treating myeloproliferative neoplasms and acute myeloid leukemia.
Article Title: RSK1 is an exploitable dependency in myeloproliferative neoplasms and secondary acute myeloid leukemia.
News Publication Date: 16-Jan-2025.
Web References: Washington University School of Medicine
References: Kong T, Laranjeira ABA, Letson CT, Yu L, He F, Jayanthan A, Los G, Dunn SE, Challen GA, Oh ST. RSK1 dependency in FLT3-ITD acute myeloid leukemia. Blood Cancer Journal. Nov. 26, 2024.
Image Credits: TIM KONG AND ANGELO B. A. LARANJEIRA
Keywords: Blood cancer, Drug therapy, Myeloproliferative neoplasms, Acute myeloid leukemia, RSK1 inhibitors, Oncology.

