Posted inGenetics
Posted inGenetics
GLP-1 Drugs Modulate Gene Expression via MED14 Phosphorylation
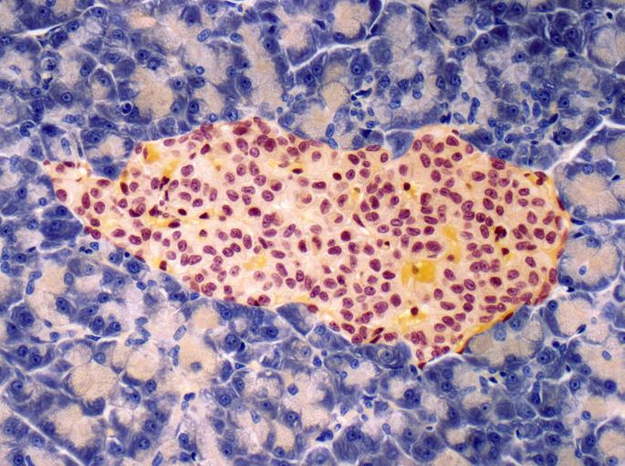
Islet of langerhans, light micrograph. This structure (centre), found in the pancreas, secretes the hormones insulin and glucagon, which control…



















